티스토리 뷰
목차

뇌종양 진단을 위한 혁신적인 기술
뇌종양은 뇌세포의 비정상적인 성장으로 인해 생기는 암의 한 종류입니다. 뇌종양은 크기, 위치, 종류에 따라 증상이 다양하며, 두통, 발작, 시력 문제, 메스꺼움, 구토 등이 나타날 수 있습니다. 조기 진단과 치료가 환자의 생존율과 QOL(삶의 질)을 크게 향상시킬 수 있으므로 뇌종양의 정확한 진단은 매우 중요합니다.
최근 뇌종양 진단 분야에서는 혁신적인 기술이 많이 개발되고 있습니다. 이러한 기술은 기존의 진단 방법에 비해 더 정확하고, 비침습적이며, 빠르게 결과를 얻을 수 있습니다. 예를 들어, 자기공명영상(MRI) 검사는 뇌 구조의 상세한 영상을 제공하여 종양의 위치와 크기를 파악하는 데 사용됩니다. 또한, 양전자방출 단층촬영(PET) 검사는 뇌 활동을 영상화하여 종양의 대사적 특성을 평가하는 데 사용됩니다.
이러한 혁신적인 기술은 뇌종양 진단의 정확도와 효율성을 크게 향상시키고 있습니다. 이로 인해 환자는 더 정확하고 신속한 진단을 받을 수 있게 되고, 이는 더 적합한 치료 계획 수립과 더 나은 치료 결과로 이어질 수 있습니다.
추가적으로, 뇌종양 진단 분야에서는 인공지능(AI)과 컴퓨터 시각 기법을 활용한 연구가 활발히 진행되고 있습니다. 이러한 연구는 뇌 영상 데이터를 자동으로 분석하여 종양의 감지, 분류, 예후 예측을 보다 정확하게 수행하는 것을 목표로 합니다. 이를 통해 의료진은 뇌종양 환자를 위한 진단 및 치료 결정을 향상시킬 수 있습니다.
향후 뇌종양 진단 분야에서는 지속적인 기술 발전이 예상됩니다. 이러한 발전으로 인해 뇌종양 환자의 생존율과 삶의 질이 향상되고, 궁극적으로 뇌종양을 치료할 수 있는 날이 올 것으로 기대됩니다.
| 뇌종양 진단에 사용되는 주요 혁신적인 기술 |
|
## 1. 뇌종양 진단을 위한 혁신적인 기술 혁신적인 영상 기술 자기공명영상(MRI): 뇌종양의 상세한 입체 영상을 제공하여 종양의 크기, 위치, 특성을 정확히 파악할 수 있음. 컴퓨터 단층촬영(CT): 뇌종양의 뼈와 연조직 구조를 시각화하여 종양의 위치와 확산 정도를 평가하는 데 사용됨. 포지트론 방출 단층촬영(PET): 뇌활성을 측정하여 종양 세포의 대사 활동을 검출하고 종양의 악성도를 평가하는 데 사용됨. 분자적 진단 기술 유전자 검사: 뇌종양에서 발견되는 유전자 돌연변이를 식별하여 종양의 유형, 예후, 치료 반응성을 결정하는 데 사용됨. 면역조직화학: 종양 세포의 표면에 있는 특정 단백질을 검출하여 종양의 종류와 특성을 구별하는 데 사용됨. 미세침습적 기술 뇌생검: 종양 조직의 한 부분을 제거하여 종양의 병리학적 진단과 분자적 분석을 위한 검체를 제공함. 액체 생검: 혈액이나 뇌척수액에서 종양 세포나 유전자 물질을 검출하여 비침습적으로 종양 진단과 모니터링을 수행하는 데 사용됨. 기타 혁신적인 기술 인공지능(AI): 의료 영상 데이터를 분석하여 종양을 자동으로 감지하고 특성화하는 데 사용됨. 가상 현실(VR): 외과의사가 수술 중 뇌종양을 시각화하고 제거하는 데 도움이 됨. 3D 프린팅: 환자 맞춤형 수술 가이드 및 임플란트를 제작하여 수술의 정확도와 효과성을 향상시킴.## 1. 최신 뇌종양 진단 기술 최신 영상 진단 기술 자기 공명 영상(MRI): 강력한 자기장과 전파를 사용하여 뇌 내부 구조의 상세한 영상을 생성합니다. 컴퓨터 단층 촬영(CT): X선을 사용하여 뇌의 뼈와 연조직의 단면도를 생성합니다. 양전자 방출 단층촬영(PET): 방사성 동위원소를 주입하여 뇌의 대사 활동을 측정합니다. 분자 영상 기술 MR 분광법(MRS): 뇌의 화학적 프로필을 분석하여 종양과 정상 조직을 구별합니다. 핵의학 영상 기술: 특정 수용체에 결합하는 방사성 표지자를 주입하여 종양의 특성을 파악합니다. 혈액 검사 종양 마커 검사: 뇌종양에서 발견되는 특정 단백질이나 암세포를 탐지합니다. 유전자 검사: 종양의 유전적 특성을 분석하여 맞춤형 치료 계획을 수립합니다. 조직 검사 생검: 종양에서 세포나 조직 샘플을 채취하여 현미경 검사를 통해 종양의 유형과 등급을 확인합니다. 기술적 진보 인공 지능(AI): 영상 분석을 자동화하고 정확성을 향상시킵니다. 가상 현실(VR): 수술 계획과 시뮬레이션을 위한 몰입형 환경을 제공합니다. 3D 프린팅: 환자별 맞춤형 치료 장치 및 모델을 생성합니다. 이러한 기술적 진보는 의료진이 뇌종양을 더 정확하고 신속하게 진단하고 맞춤형 치료 계획을 수립하는 데 도움이 됩니다.
최신 뇌종양 진단 기술
뇌종양은 두뇌에 발생하는 암의 한 종류로, 두통, 발작, 시력 문제와 같은 다양한 증상을 유발할 수 있습니다. 뇌종양의 정확한 진단은 효과적인 치료에 필수적이며, 최신 기술의 발전으로 인해 진단 과정이 크게 향상되었습니다. 이러한 진단 기술 중 일부는 다음과 같습니다.
- 자기공명영상(MRI): MRI는 뇌의 상세한 영상을 생성하여 종양의 크기, 위치 및 특성을 평가하는 데 사용됩니다. 종양을 감지하는 대비제를 사용할 수도 있습니다.
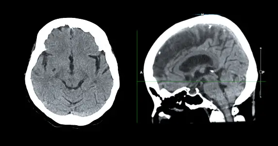
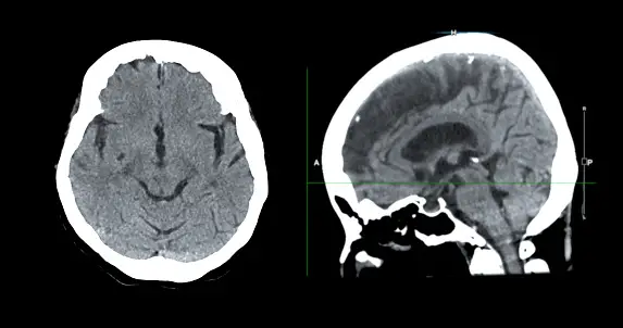
- 컴퓨터 단층촬영(CT): CT는 뇌의 단면 영상을 생성하여 뼈와 같은 뇌 구조의 이상을 확인하는 데 사용됩니다. 종양을 강조하기 위해 대비제를 사용할 수도 있습니다.
- 양전자방출단층촬영(PET): PET는 뇌의 대사 활동을 측정하여 종양과 정상 조직을 구별하는 데 사용됩니다. 특정 종류의 PET 스캔에서는 종양 세포를 표적으로 하는 방사성 동위원소를 사용합니다.
- 생검: 생검은 종양의 조직 샘플을 제거하여 종양의 유형과 등급을 결정하는 데 사용되는 절차입니다. 생검은 일반적으로 MRI 또는 CT 가이드 하에 수행됩니다.
이러한 진단 기술은 뇌종양의 조기 발견과 정확한 진단에 필수적입니다. 진단이 정확한 경우 환자에게 최적의 치료 계획을 수립하고 더 나은 예후를 얻을 수 있습니다.
| 뇌종양 진단의 중요성 |
뇌종양의 진단은 환자의 예후와 삶의 질에 중대한 영향을 미칩니다. 뇌종양은 치료가 어려울 수 있으므로 조기 진단이 매우 중요합니다. 조기 진단을 받으면 치료 성공률이 향상되고 생존 기간이 연장될 가능성이 높습니다.
정확한 진단은 효과적인 치료 계획을 수립하는 데에도 필수적입니다. 다양한 유형의 뇌종양이 있으며, 각 유형에는 고유한 치료법이 있습니다. 잘못된 진단을 받으면 잘못된 치료를 받을 수 있으며 이는 치료 결과에 부정적인 영향을 미칠 수 있습니다.
결론적으로 뇌종양 진단은 환자의 건강과 미래에 큰 영향을 미칩니다. 최신 진단 기술을 사용하여 조기 발견과 정확한 진단을 받는 것이 중요합니다.





'건강생활' 카테고리의 다른 글
| 강다니엘 프로필, 솔로 가수로서의 성공 (1) | 2024.05.22 |
|---|---|
| 이승우 프로필, K리그 2경기 연속 골로 주목 (1) | 2024.05.21 |
| 자폐 초기 진단과 가족의 역할과 지원 (1) | 2024.05.21 |
| 자폐 초기 진단을 돕는 조기 선별 검사 (1) | 2024.05.20 |
| 자폐 초기 진단과 부모 교육 프로그램 (0) | 2024.05.20 |